Nội dung bài viết
Thông tin từ Bệnh viện Hữu Nghị Việt Tiệp cho biết, mới đây các bác sĩ khoa Đột quỵ vừa cứu sống một người bệnh (nam, 41 tuổi) bị đột quỵ não. Trước đó, bệnh nhân nhập viện trong tình trạng liệt hoàn toàn nửa người trái, méo miệng, nói khó. Tại Khoa Cấp cứu, người bệnh được chụp CT sọ não, kết quả chưa ghi nhận tổn thương rõ ràng. Đáng chú ý, người bệnh có tiền sử hút thuốc lào 26 năm nhưng không mắc bệnh mạn tính nào khác. Các bác sĩ chẩn đoán đây là trường hợp nhồi máu não không rõ thời điểm khởi phát. Thời điểm bình thường gần nhất được người nhà ghi nhận là khoảng 7 tiếng trước đó, tức là người bệnh đã vượt qua "thời gian vàng" chỉ định tiêu sợi huyết theo tiêu chuẩn thông thường.

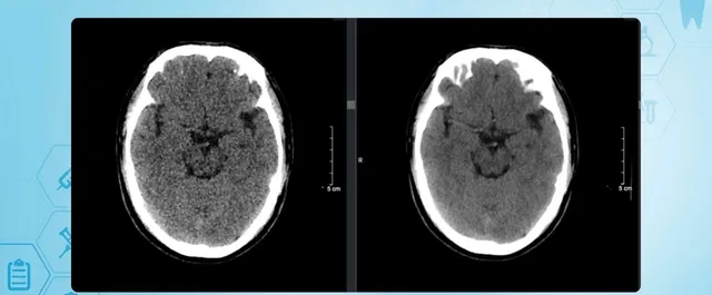
Hình ảnh chụp CT não của người bệnh chưa thấy rõ vùng tổn thương não.


Sau thời gian điều trị bằng kỹ thuật tiêm thuốc tiêu sợi huyết, tình trạng liệt của bệnh nhân cải thiện rõ rệt
Trước tình huống người bệnh còn trẻ, có nguy cơ tàn phế vĩnh viễn, TS.BS Phùng Đức Lâm – Trưởng khoa Đột quỵ đã chỉ định chụp MRI cấp cứu để đánh giá tình trạng "Mismatch" (chênh lệch giữa vùng não đã tổn thương và vùng não còn khả năng cứu vãn) theo nghiên cứu WAKE UP. Kết quả MRI cho thấy có Mismatch giữa DWI (tổn thương do thiếu máu) và FLAIR (tổn thương thường xuất hiện sau vài giờ), cho thấy còn vùng não có khả năng cứu vãn.
Ngay sau đó, người bệnh được chỉ định tiêm thuốc tiêu sợi huyết. Sau can thiệp, tình trạng liệt cải thiện rõ rệt. Người bệnh phục hồi hoàn toàn vận động và sinh hoạt bình thường chỉ sau gần một ngày sử dụng thuốc.
TS.BS Phùng Đức Lâm, Trưởng khoa Đột quỵ khuyến cáo: "Đột quỵ không chỉ xảy ra ở người cao tuổi mà còn có thể gặp ở cả những người còn rất trẻ, vì vậy tuyệt đối không được chủ quan. Khi xuất hiện các dấu hiệu nghi ngờ, cần nhanh chóng đưa người bệnh đến bệnh viện để được chẩn đoán và điều trị kịp thời bằng những kỹ thuật hiện đại. Đây là yếu tố then chốt quyết định khả năng hồi phục. Bên cạnh đó, việc chủ động phòng ngừa thông qua bỏ thuốc lá, hạn chế rượu bia, duy trì lối sống khoa học, vận động hợp lý chính là cách bảo vệ sức khỏe não bộ và giảm nguy cơ đột quỵ.
TS Lâm nhấn mạnh nguyên tắc vàng trong cấp cứu và điều trị bệnh nhân đột quỵ não là "Thăng bằng - Thị lực - Mặt - Tay - Lời nói - Thời gian".
(Nguồn: Báo Sức Khỏe và Đời sống)
Tecnic Medical Lưu ý những dấu hiệu, triệu chứng dẫn đến đột quỵ sau:
• Méo miệng: đột ngột thấy miệng xệ xuống một bên.
• Yếu tay/chân: không thể nâng tay, chân hoặc một bên người bị yếu, tê bì.
• Nhức đầu dữ dội, chóng mặt, mất thăng bằng không rõ nguyên nhân.
• Thị lực giảm đột ngột: nhìn mờ hoặc mất thị lực một bên mắt.
• Nói khó: nói ngọng, khó diễn đạt, hoặc không hiểu được người khác nói.
Đột quỵ hiện nay không chỉ xảy ra ở người già, mà còn ghi nhận ở những người có tuổi đời còn rất trẻ. Chính vì vậy, người dân cần nhận biết được những triệu chứng ban đầu để không bỏ lỡ thời gian vàng trong việc điều trị bệnh.
Công ty cổ phần công nghệ và dịch vụ y tế TECNIC (Tên viết tắt: Tecnic Medical)
Đột quỵ ở người trẻ: Khi "sát thủ" không còn đợi tuổi, liệu bạn có đang trong tầm ngắm?
Tuyển dụng lập trình viên mobile app - sẵn sàng cho kỷ nguyên AI
Mỗi Lựa Chọn Hôm Nay Quyết Định Bạn 10 Năm Sau – Béo Phì, Đột Quỵ Hay Khỏe Mạnh?
TUYỂN CHUYÊN VIÊN CHUYÊN MÔN Y TẾ: ĐỒNG HÀNH KIẾN TẠO HỆ SINH THÁI THIẾT BỊ Y TẾ CHUẨN MỰC
TUYỂN CHUYÊN GIA KIẾN TẠO: CHUYÊN VIÊN VẬN HÀNH KÊNH SỐ (OMNICHANNEL OPERATOR)
TUYỂN KỸ THUẬT VIÊN TRANG THIẾT BỊ Y TẾ
Đột quỵ ở người trẻ: Vì sao ngày càng nhiều?
JD TUYỂN DỤNG VỊ TRÍ XÂY KÊNH TIKTOK CÔNG TY CÔNG NGHỆ VÀ DỊCH VỤ Y TẾ TECNIC
Sản phẩm nổi bật